Częściowe braki zębowe
Odbuduj uśmiech i funkcję żucia– komfort, którego nie dają tradycyjne protezy
Częściowe braki zębowe wpływają nie tylko na estetykę uśmiechu, ale również na komfort codziennego jedzenia, mowę oraz prawidłowe działanie stawu skroniowo-żuchwowego. Zastąpienie utraconych zębów implantami pozwala w pełni zatrzymać postępującą utratę kości, przywrócić naturalny wygląd twarzy i odzyskać pewność siebie. W Civis Vita Stomatologia proponujemy nowoczesne rozwiązania implantologiczne, które odtwarzają zęby w sposób trwały, stabilny i maksymalnie zbliżony do natury.
Pojedynczy brak zębowy
Najbardziej naturalne i trwałe uzupełnienie — implant zamiast mostu
Utrata jednego zęba może wydawać się drobnym problemem, jednak pozostawienie pustego miejsca prowadzi do przesuwania się sąsiednich zębów, zaburzeń zgryzu, trudności z żuciem,a nawet zaniku kości. Implant jest najlepszym, najzdrowszym i najtrwalszym sposobem odbudowy pojedynczego zęba, ponieważ:
✔ nie wymaga szlifowania zdrowych zębów (jak w przypadku tradycyjnego mostu)
✔ stabilnie przenosi siły żucia — działa jak naturalny korzeń
✔ zapobiega zanikowi kości
✔ wygląda i funkcjonuje jak naturalny ząb
W Civis Vita Stomatologia odtwarzamy brak pojedynczego zęba za pomocą estetycznej korony umocowanej na tytanowym lub cyrkonowym implancie, uzyskując efekt praktycznie nieodróżnialny od prawdziwego zęba.
Implantacja natychmiastowa jest sprawdzoną i bezpieczną metodą! Jest najlepszym wyborem jeśli tylko jest taka możliwość i nie występują przeciwskazania – występuje odpowiednia ilość kości by uzyskać stabilizację implantu


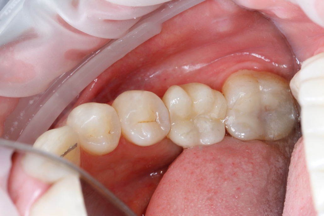
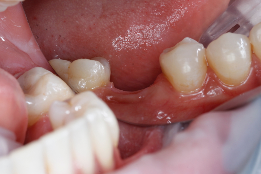
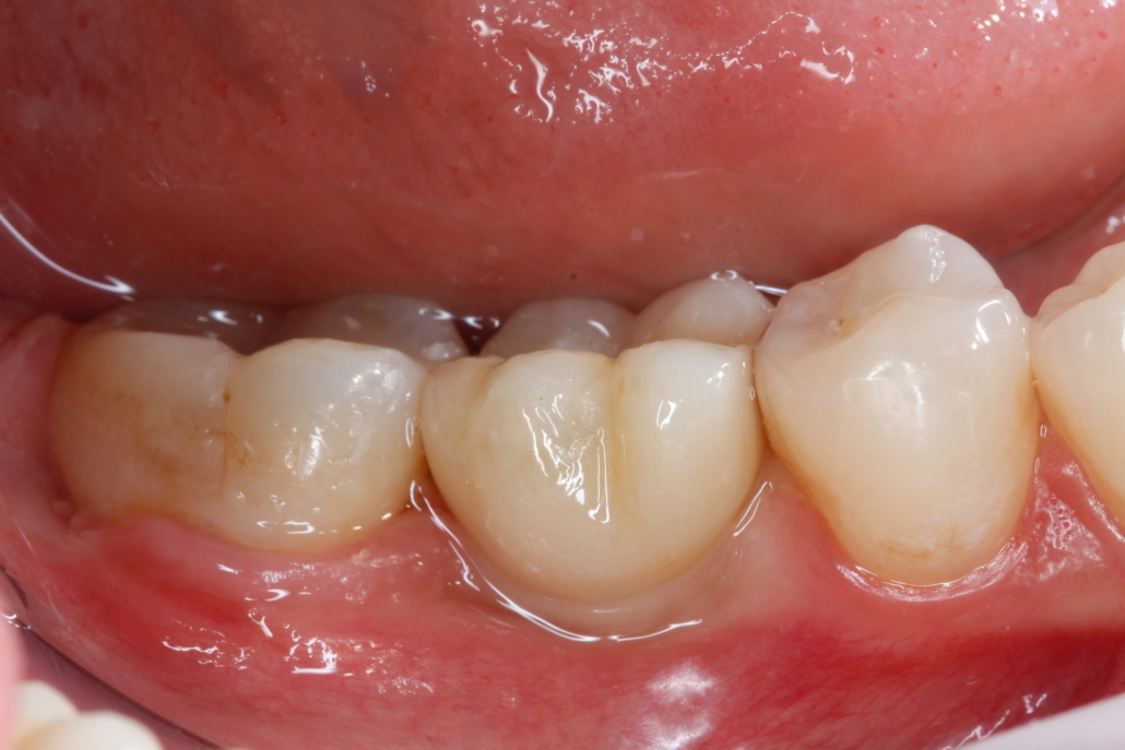
Brak kilku zębów
Korony i mosty na implantach – stabilne, estetyczne i komfortowe rozwiązanie bez protezy ruchomej
W przypadku licznych braków w uzębieniu przeprowadzenie leczenia implantologicznego jest wręcz konieczne. Przemawiają za tym nie tylko względy estetyczne, ale również medyczne. Z powodu braku jakiegokolwiek obciążenia, kość wykazuje skłonności do stopniowego zaniku podłoża kostnego. Ilość wszczepianych w takiej sytuacji implantów zależy od indywidualnych warunków kostnych pacjenta.
Gdy brakuje kilku zębów obok siebie, optymalnym rozwiązaniem są mosty oparte na implantach, które zastępują większy fragment łuku zębowego bez konieczności noszenia protez ruchomych. To rozwiązanie idealne dla osób, które oczekują:
✔ pełnej stabilności uzupełnień — most nie przesuwa się ani nie wypada
✔ naturalnego wyglądu i wysokiej estetyki
✔ możliwości jedzenia bez ograniczeń
✔ zahamowania zaniku kości w miejscu brakujących zębów
Braki 2 czy 3 zębów można uzupełnić pojedynczymi koronami na implantach lub mostami opartymi na implantach. Efektem jest komfort użytkowania i trwałość porównywalna z naturalnym uzębieniem — bez podrażnień, klejów, dyskomfortu i problemów typowych dla protez ruchomych.
Implantacja natychmiastowa jest sprawdzoną i bezpieczną metodą! Jest najlepszym wyborem jeśli tylko jest taka możliwość i nie występują przeciwskazania – występuje odpowiednia ilość kości by uzyskać stabilizację implantu

Adres
CIVIS VITA STOMATOLOGIA
W budynku Civis Vita Centrum Medyczne
uL. WARSZAWSKA 20 (I Piętro)
87-100 TORUŃ
Kontakt
Kom: 662 422 717
Tel: 56 690 60 50
E-mail: stomatologia@civisvita.pl
Godziny otwarcia
Pon. – Czw. 8:00 – 19:00
Piątek:: 8:00 – 16:00
Weekendy – zamknięte




